favicon
G R A N D E
D E N T A L

Консервативно зъболечение

  • Начало
  • Услуги
  • Консервативно зъболечение
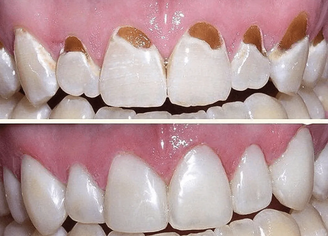
image

Фотополимерни пломби и кореново лечение на пулпит и периодонтит

Фотополимерна пломба

Пломбите от фотополимеризиращ композитен материал са най-често използваните в съвременното зъболечение. Те са подходящи за всички зъби в зъбната редица. Основните им предимства са изключителната естетичност и възможността да се пресъздаде естествения релеф на зъбите. При правилно подбран цвят и внимание от страна на зъболекаря, фотополимерната пломба е неразличима от естествените зъби. Недостатък на композитните обтурации е чувствителността им към влага (направата им изисква сухи повърхности на зъбите, което усложнява работата на лекаря и увеличава времето за изработка). Фотополимерната пломба е най-добрият избор за лечение на кариес, когато се вземе предвид отношението между цена и качество.

Кореново лечение на пулпит и периодонтит

Лечението на пулпит се нарича ендодонтско лечение (или кореново лечение). То преминава през няколко етапа с различна продължителност, в зависимост от броя канали на болния зъб и напредналостта на заболяването. Ендодонтското лечение при пулпит включва следните етапи:

  1. Умъртвяване на нерва / Обезболяване с упойка
  2. Разкриване на нерва
  3. Изваждане на нерва
  4. Оформяне на кореновите канали
  5. Запълване на оформените канали